Transform your child's smile with Myobrace Therapy
Transform your child's smile with Myobrace Therapy
Transform your child's smile with Myobrace Therapy
An early intervention for crooked teeth, Myobrace Therapy corrects poor oral habits. Watch the transformation begin!
Claim Free Consultation -->



Decades of Expertise
Decades of Expertise
Cutting-Edge Technology
Cutting-Edge Technology
Flexible Payment Plans Available
Flexible Payment Plans
Warm & Caring Team
Warm & Caring Team
Tailored Dental Approach
Tailored Dental Approach
Going Beyond Expectations
Going Beyond Expectations


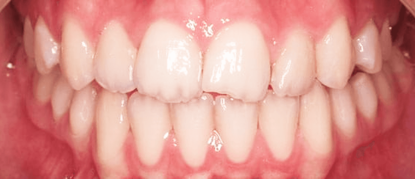
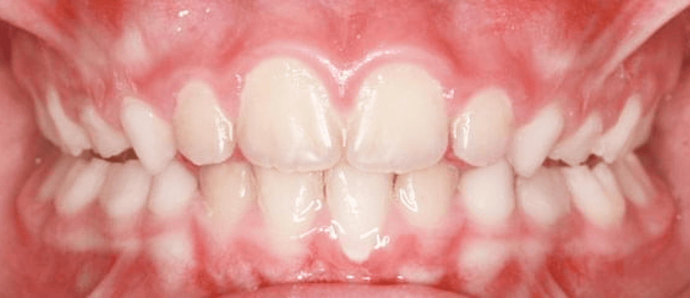
Reversing the Australian crooked teeth epidemic
Reversing the Australian crooked teeth epidemic
With 80% of Australian children suffering from crooked teeth, early action is critical. By promoting healthy oral habits from an early age, we can combat bad jaw and pave the way for straighter smiles.




Ditch traditional methods, embrace Myobrace Therapy
Ditch traditional methods, embrace Myobrace Therapy
Ditch traditional methods, embrace Myobrace Therapy
Traditional orthodontic techniques often overlook why teeth become crooked, leading to frequent relapses. Myobrace Therapy changes this paradigm: by addressing the underlying causes, and correcting oral habits during growth, it fosters long-term changes in cranial and jaw development, effectively preventing crooked teeth. Enjoy a longer-lasting, more effective solution with Myobrace Therapy.

Accepting All Health Funds, We Simplify Your Path Towards Superior Dental Health.



don’t miss out!
Claim your free consultation today, valued at $150
Kickstart your child's journey toward a healthier smile with a free Myobrace consultation valued at 150. Dr. David Betar or Dr. Asad Jamil will provide expert insight, and discuss treatment options, possible costs, and the health fund rebates. Get this comprehensive overview for your peace of mind. Request your consultation today!
Claim Free Consultation -->

don’t miss out!
Claim your free consultation today, valued at $150
Kickstart your child's journey toward a healthier smile with a free Myobrace consultation valued at 150. Dr. David Betar or Dr. Asad Jamil will provide expert insight, and discuss treatment options, possible costs, and the health fund rebates. Get this comprehensive overview for your peace of mind. Request your consultation today!
Claim Free Consultation -->


Gentler Approach
Preserving all your teeth, Myobrace is minimally invasive.
Value for Money
More affordable than traditional porcelain veneers.
Instant Results
Get a newly transformed smile in one visit!
Natural Aesthetics
Match your teeth's colour for a seamless look.
Gentler Approach
Preserving all your teeth, Myobrace is minimally invasive.
Value for Money
More affordable than traditional porcelain veneers.
Instant Results
Get a newly transformed smile in one visit!
Natural Aesthetics
Match your teeth's colour for a seamless look.
Gentler Approach
Preserving all your teeth, Myobrace is minimally invasive.
Value for Money
More affordable than traditional porcelain veneers.
Instant Results
Get a newly transformed smile in one visit!
Natural Aesthetics
Match your teeth's colour for a seamless look.
Gentler Approach
Preserving all your teeth, Myobrace is minimally invasive.
Value for Money
More affordable than traditional porcelain veneers.
Instant Results
Get a newly transformed smile in one visit!
Natural Aesthetics
Match your teeth's colour for a seamless look.
4 reasons to revamp your smile with Myobrace Therapy
4 reasons to revamp your smile with Myobrace Therapy
Gentler Approach
Preserving all your teeth, Myobrace is minimally invasive.
Value for Money
More affordable than traditional porcelain veneers.
Instant Results
Get a newly transformed smile in one visit!
Natural Aesthetics
Match your teeth's colour for a seamless look.
interest-free payment plans available



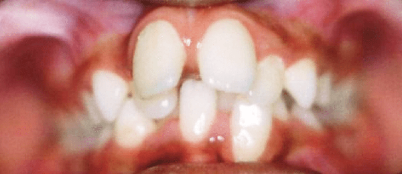
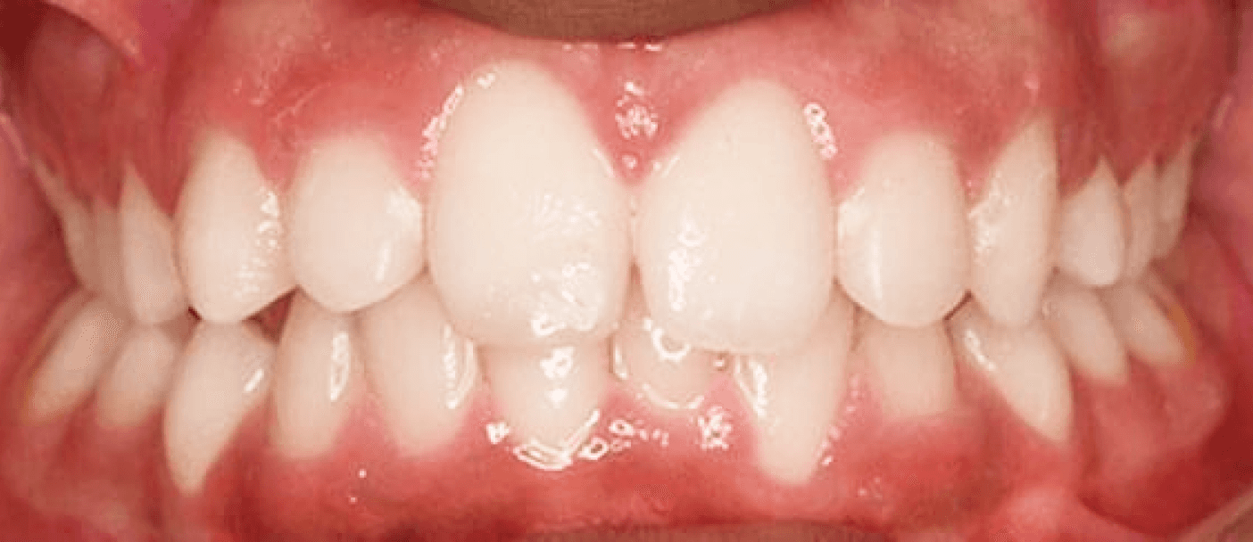
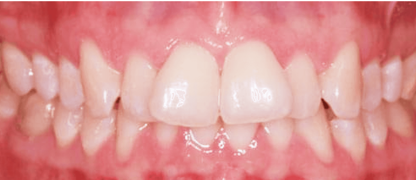
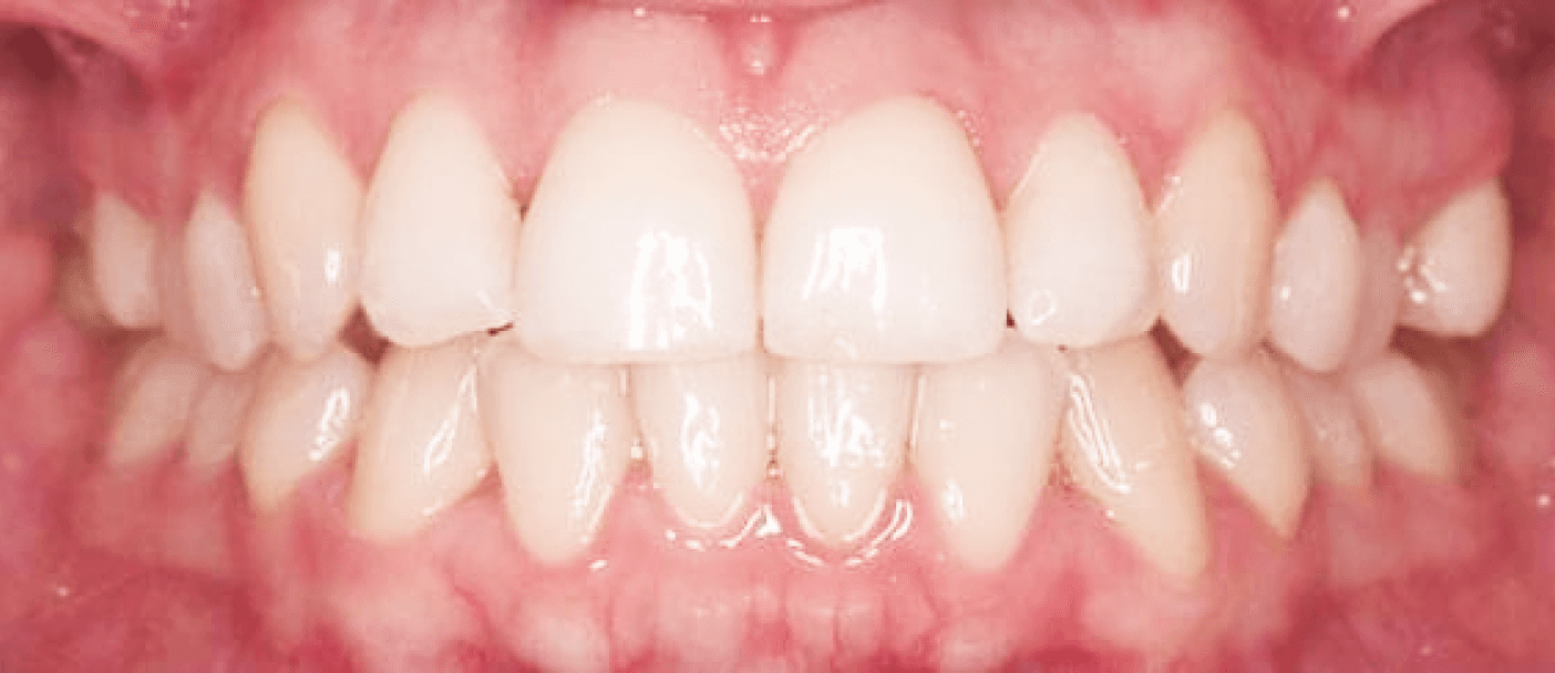
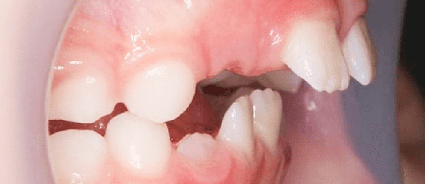
Before & after revolutionary Myobrace Therapy


BEFORE
after


BEFORE
after


BEFORE
after


BEFORE
after


BEFORE
after


BEFORE
after


BEFORE
after


BEFORE
after


BEFORE
after


BEFORE
after


BEFORE
after


BEFORE
after


BEFORE
after


BEFORE
after


BEFORE
after


BEFORE
after


BEFORE
after


BEFORE
after


BEFORE
after


BEFORE
after


BEFORE
after


BEFORE
after


BEFORE
after


BEFORE
after


BEFORE
after


BEFORE
after


BEFORE
after


BEFORE
after


BEFORE
after


BEFORE
after


BEFORE
after


BEFORE
after


BEFORE
after


BEFORE
after


BEFORE
after


BEFORE
after


BEFORE
after


BEFORE
after


BEFORE
after


BEFORE
after


BEFORE
after


BEFORE
after


BEFORE
after


BEFORE
after


BEFORE
after


BEFORE
after


BEFORE
after


BEFORE
after


BEFORE
after


BEFORE
after


BEFORE
after


BEFORE
after


BEFORE
after


BEFORE
after


BEFORE
after


BEFORE
after


BEFORE
after


BEFORE
after


BEFORE
after


BEFORE
after


BEFORE
after


BEFORE
after


BEFORE
after


BEFORE
after


BEFORE
after


BEFORE
after


BEFORE
after


BEFORE
after


BEFORE
after


BEFORE
after


BEFORE
after


BEFORE
after


BEFORE
after


BEFORE
after


BEFORE
after


BEFORE
after


BEFORE
after


BEFORE
after


BEFORE
after


BEFORE
after


BEFORE
after


BEFORE
after


BEFORE
after


BEFORE
after


BEFORE
after


BEFORE
after


BEFORE
after


BEFORE
after


BEFORE
after


BEFORE
after


BEFORE
after


BEFORE
after


BEFORE
after


BEFORE
after


BEFORE
after


BEFORE
after
Before & after revolutionary Myobrace Therapy


BEFORE
after


BEFORE
after


BEFORE
after


BEFORE
after


BEFORE
after


BEFORE
after


BEFORE
after


BEFORE
after


BEFORE
after


BEFORE
after


BEFORE
after


BEFORE
after


BEFORE
after


BEFORE
after


BEFORE
after


BEFORE
after


BEFORE
after


BEFORE
after


BEFORE
after


BEFORE
after


BEFORE
after


BEFORE
after


BEFORE
after


BEFORE
after


BEFORE
after


BEFORE
after


BEFORE
after


BEFORE
after


BEFORE
after


BEFORE
after


BEFORE
after


BEFORE
after


BEFORE
after


BEFORE
after


BEFORE
after


BEFORE
after


BEFORE
after


BEFORE
after


BEFORE
after


BEFORE
after


BEFORE
after


BEFORE
after


BEFORE
after


BEFORE
after


BEFORE
after


BEFORE
after


BEFORE
after


BEFORE
after
what our happy customers say
Read our customers’ experiences with Myobrace Therapy
Read our customers’ experiences with Myobrace Therapy
Read our customers’ experiences with Myobrace Therapy

T
Trent Hanna
a month ago
After sitting down with Dr David I decided he was the one I wanted to put my trust in. He made me feel so comfortable and confident he could get the result and as fast as I was wanting. Sitting here 1 month later, I am so glad I chose to put my trust in David and his team. I will be highly recommending them. Thank you to the whole team I couldn’t be happier.
K
Kerrie Matveyeff
a month ago
It is truely hard to put into words what a wonderful experience I had with both the team and Dr David Betar, the professionalism, work ethic and caring nature of all staff made me comfortable and at ease and the outcome was absolutely perfect. My confidence is at a level it is has never been and I owe it to the team at Fortitude Valley Dentist. Thank you.
A
Alina Yukhymenko
2 months ago
D
Danny Cox
2 months ago
From the moment I walked in I knew I had made the right decision. David and his team have been fantastic throughout the whole process. David is an absolute master and takes great pride in his work and his care for his clients is 1st class. I have no hesitation in giving the team my highest recommendation.
N
Nicholas Bud
4 months ago
Dr David and the team at Fortitude Valley Dentist are amazing!! Their level of professionalism and service is second to none! If you’re anxious or embarrassed about your teeth & need any dental work done, then Dr David and his wonderful team at Fortitude Valley Dentist is the best dentist in Brisbane!
L
Lina Geaitani
4 months ago
I would highly recommend Dr David and the team at Fortitude Valley Dentist. I’ve never been a fan of visiting the dentist, but Dr David has changed that for me.Thanks guys! Best dental clinic in Brisbane!
C
Chris David
4 months ago
Wow. I could not recommend Dr David and his team enough. Dr David was so attentive to my needs and made my experience so comfortable. Thank you again Dr David and the team at Fortitude Valley Dentist.
G
Guilherme Goncalves
8 months ago
I would definitely recommend Dr David for friends and family, he is an excellent professional and the staff is always friendly. After a lot of research, I ended up deciding to visit the clinic and start my treatment and that was the best decision I made.
T
Trent Hanna
a month ago
After sitting down with Dr David I decided he was the one I wanted to put my trust in. He made me feel so comfortable and confident he could get the result and as fast as I was wanting. Sitting here 1 month later, I am so glad I chose to put my trust in David and his team. I will be highly recommending them. Thank you to the whole team I couldn’t be happier.
K
Kerrie Matveyeff
a month ago
It is truely hard to put into words what a wonderful experience I had with both the team and Dr David Betar, the professionalism, work ethic and caring nature of all staff made me comfortable and at ease and the outcome was absolutely perfect. My confidence is at a level it is has never been and I owe it to the team at Fortitude Valley Dentist. Thank you.
A
Alina Yukhymenko
2 months ago
D
Danny Cox
2 months ago
From the moment I walked in I knew I had made the right decision. David and his team have been fantastic throughout the whole process. David is an absolute master and takes great pride in his work and his care for his clients is 1st class. I have no hesitation in giving the team my highest recommendation.
N
Nicholas Bud
4 months ago
Dr David and the team at Fortitude Valley Dentist are amazing!! Their level of professionalism and service is second to none! If you’re anxious or embarrassed about your teeth & need any dental work done, then Dr David and his wonderful team at Fortitude Valley Dentist is the best dentist in Brisbane!
L
Lina Geaitani
4 months ago
I would highly recommend Dr David and the team at Fortitude Valley Dentist. I’ve never been a fan of visiting the dentist, but Dr David has changed that for me.Thanks guys! Best dental clinic in Brisbane!
C
Chris David
4 months ago
Wow. I could not recommend Dr David and his team enough. Dr David was so attentive to my needs and made my experience so comfortable. Thank you again Dr David and the team at Fortitude Valley Dentist.
G
Guilherme Goncalves
8 months ago
I would definitely recommend Dr David for friends and family, he is an excellent professional and the staff is always friendly. After a lot of research, I ended up deciding to visit the clinic and start my treatment and that was the best decision I made.
T
Trent Hanna
a month ago
After sitting down with Dr David I decided he was the one I wanted to put my trust in. He made me feel so comfortable and confident he could get the result and as fast as I was wanting. Sitting here 1 month later, I am so glad I chose to put my trust in David and his team. I will be highly recommending them. Thank you to the whole team I couldn’t be happier.
K
Kerrie Matveyeff
a month ago
It is truely hard to put into words what a wonderful experience I had with both the team and Dr David Betar, the professionalism, work ethic and caring nature of all staff made me comfortable and at ease and the outcome was absolutely perfect. My confidence is at a level it is has never been and I owe it to the team at Fortitude Valley Dentist. Thank you.
A
Alina Yukhymenko
2 months ago
D
Danny Cox
2 months ago
From the moment I walked in I knew I had made the right decision. David and his team have been fantastic throughout the whole process. David is an absolute master and takes great pride in his work and his care for his clients is 1st class. I have no hesitation in giving the team my highest recommendation.
N
Nicholas Bud
4 months ago
Dr David and the team at Fortitude Valley Dentist are amazing!! Their level of professionalism and service is second to none! If you’re anxious or embarrassed about your teeth & need any dental work done, then Dr David and his wonderful team at Fortitude Valley Dentist is the best dentist in Brisbane!
L
Lina Geaitani
4 months ago
I would highly recommend Dr David and the team at Fortitude Valley Dentist. I’ve never been a fan of visiting the dentist, but Dr David has changed that for me.Thanks guys! Best dental clinic in Brisbane!
C
Chris David
4 months ago
Wow. I could not recommend Dr David and his team enough. Dr David was so attentive to my needs and made my experience so comfortable. Thank you again Dr David and the team at Fortitude Valley Dentist.
G
Guilherme Goncalves
8 months ago
I would definitely recommend Dr David for friends and family, he is an excellent professional and the staff is always friendly. After a lot of research, I ended up deciding to visit the clinic and start my treatment and that was the best decision I made.
T
Trent Hanna
a month ago
After sitting down with Dr David I decided he was the one I wanted to put my trust in. He made me feel so comfortable and confident he could get the result and as fast as I was wanting. Sitting here 1 month later, I am so glad I chose to put my trust in David and his team. I will be highly recommending them. Thank you to the whole team I couldn’t be happier.
K
Kerrie Matveyeff
a month ago
It is truely hard to put into words what a wonderful experience I had with both the team and Dr David Betar, the professionalism, work ethic and caring nature of all staff made me comfortable and at ease and the outcome was absolutely perfect. My confidence is at a level it is has never been and I owe it to the team at Fortitude Valley Dentist. Thank you.
A
Alina Yukhymenko
2 months ago
D
Danny Cox
2 months ago
From the moment I walked in I knew I had made the right decision. David and his team have been fantastic throughout the whole process. David is an absolute master and takes great pride in his work and his care for his clients is 1st class. I have no hesitation in giving the team my highest recommendation.
N
Nicholas Bud
4 months ago
Dr David and the team at Fortitude Valley Dentist are amazing!! Their level of professionalism and service is second to none! If you’re anxious or embarrassed about your teeth & need any dental work done, then Dr David and his wonderful team at Fortitude Valley Dentist is the best dentist in Brisbane!
L
Lina Geaitani
4 months ago
I would highly recommend Dr David and the team at Fortitude Valley Dentist. I’ve never been a fan of visiting the dentist, but Dr David has changed that for me.Thanks guys! Best dental clinic in Brisbane!
C
Chris David
4 months ago
Wow. I could not recommend Dr David and his team enough. Dr David was so attentive to my needs and made my experience so comfortable. Thank you again Dr David and the team at Fortitude Valley Dentist.
G
Guilherme Goncalves
8 months ago
I would definitely recommend Dr David for friends and family, he is an excellent professional and the staff is always friendly. After a lot of research, I ended up deciding to visit the clinic and start my treatment and that was the best decision I made.
T
Trent Hanna
a month ago
After sitting down with Dr David I decided he was the one I wanted to put my trust in. He made me feel so comfortable and confident he could get the result and as fast as I was wanting. Sitting here 1 month later, I am so glad I chose to put my trust in David and his team. I will be highly recommending them. Thank you to the whole team I couldn’t be happier.
K
Kerrie Matveyeff
a month ago
It is truely hard to put into words what a wonderful experience I had with both the team and Dr David Betar, the professionalism, work ethic and caring nature of all staff made me comfortable and at ease and the outcome was absolutely perfect. My confidence is at a level it is has never been and I owe it to the team at Fortitude Valley Dentist. Thank you.
A
Alina Yukhymenko
2 months ago
D
Danny Cox
2 months ago
From the moment I walked in I knew I had made the right decision. David and his team have been fantastic throughout the whole process. David is an absolute master and takes great pride in his work and his care for his clients is 1st class. I have no hesitation in giving the team my highest recommendation.
N
Nicholas Bud
4 months ago
Dr David and the team at Fortitude Valley Dentist are amazing!! Their level of professionalism and service is second to none! If you’re anxious or embarrassed about your teeth & need any dental work done, then Dr David and his wonderful team at Fortitude Valley Dentist is the best dentist in Brisbane!
L
Lina Geaitani
4 months ago
I would highly recommend Dr David and the team at Fortitude Valley Dentist. I’ve never been a fan of visiting the dentist, but Dr David has changed that for me.Thanks guys! Best dental clinic in Brisbane!
C
Chris David
4 months ago
Wow. I could not recommend Dr David and his team enough. Dr David was so attentive to my needs and made my experience so comfortable. Thank you again Dr David and the team at Fortitude Valley Dentist.
G
Guilherme Goncalves
8 months ago
I would definitely recommend Dr David for friends and family, he is an excellent professional and the staff is always friendly. After a lot of research, I ended up deciding to visit the clinic and start my treatment and that was the best decision I made.
T
Trent Hanna
a month ago
After sitting down with Dr David I decided he was the one I wanted to put my trust in. He made me feel so comfortable and confident he could get the result and as fast as I was wanting. Sitting here 1 month later, I am so glad I chose to put my trust in David and his team. I will be highly recommending them. Thank you to the whole team I couldn’t be happier.
K
Kerrie Matveyeff
a month ago
It is truely hard to put into words what a wonderful experience I had with both the team and Dr David Betar, the professionalism, work ethic and caring nature of all staff made me comfortable and at ease and the outcome was absolutely perfect. My confidence is at a level it is has never been and I owe it to the team at Fortitude Valley Dentist. Thank you.
A
Alina Yukhymenko
2 months ago
D
Danny Cox
2 months ago
From the moment I walked in I knew I had made the right decision. David and his team have been fantastic throughout the whole process. David is an absolute master and takes great pride in his work and his care for his clients is 1st class. I have no hesitation in giving the team my highest recommendation.
N
Nicholas Bud
4 months ago
Dr David and the team at Fortitude Valley Dentist are amazing!! Their level of professionalism and service is second to none! If you’re anxious or embarrassed about your teeth & need any dental work done, then Dr David and his wonderful team at Fortitude Valley Dentist is the best dentist in Brisbane!
L
Lina Geaitani
4 months ago
I would highly recommend Dr David and the team at Fortitude Valley Dentist. I’ve never been a fan of visiting the dentist, but Dr David has changed that for me.Thanks guys! Best dental clinic in Brisbane!
C
Chris David
4 months ago
Wow. I could not recommend Dr David and his team enough. Dr David was so attentive to my needs and made my experience so comfortable. Thank you again Dr David and the team at Fortitude Valley Dentist.
G
Guilherme Goncalves
8 months ago
I would definitely recommend Dr David for friends and family, he is an excellent professional and the staff is always friendly. After a lot of research, I ended up deciding to visit the clinic and start my treatment and that was the best decision I made.
T
Trent Hanna
a month ago
After sitting down with Dr David I decided he was the one I wanted to put my trust in. He made me feel so comfortable and confident he could get the result and as fast as I was wanting. Sitting here 1 month later, I am so glad I chose to put my trust in David and his team. I will be highly recommending them. Thank you to the whole team I couldn’t be happier.
K
Kerrie Matveyeff
a month ago
It is truely hard to put into words what a wonderful experience I had with both the team and Dr David Betar, the professionalism, work ethic and caring nature of all staff made me comfortable and at ease and the outcome was absolutely perfect. My confidence is at a level it is has never been and I owe it to the team at Fortitude Valley Dentist. Thank you.
A
Alina Yukhymenko
2 months ago
D
Danny Cox
2 months ago
From the moment I walked in I knew I had made the right decision. David and his team have been fantastic throughout the whole process. David is an absolute master and takes great pride in his work and his care for his clients is 1st class. I have no hesitation in giving the team my highest recommendation.
N
Nicholas Bud
4 months ago
Dr David and the team at Fortitude Valley Dentist are amazing!! Their level of professionalism and service is second to none! If you’re anxious or embarrassed about your teeth & need any dental work done, then Dr David and his wonderful team at Fortitude Valley Dentist is the best dentist in Brisbane!
L
Lina Geaitani
4 months ago
I would highly recommend Dr David and the team at Fortitude Valley Dentist. I’ve never been a fan of visiting the dentist, but Dr David has changed that for me.Thanks guys! Best dental clinic in Brisbane!
C
Chris David
4 months ago
Wow. I could not recommend Dr David and his team enough. Dr David was so attentive to my needs and made my experience so comfortable. Thank you again Dr David and the team at Fortitude Valley Dentist.
G
Guilherme Goncalves
8 months ago
I would definitely recommend Dr David for friends and family, he is an excellent professional and the staff is always friendly. After a lot of research, I ended up deciding to visit the clinic and start my treatment and that was the best decision I made.
T
Trent Hanna
a month ago
After sitting down with Dr David I decided he was the one I wanted to put my trust in. He made me feel so comfortable and confident he could get the result and as fast as I was wanting. Sitting here 1 month later, I am so glad I chose to put my trust in David and his team. I will be highly recommending them. Thank you to the whole team I couldn’t be happier.
K
Kerrie Matveyeff
a month ago
It is truely hard to put into words what a wonderful experience I had with both the team and Dr David Betar, the professionalism, work ethic and caring nature of all staff made me comfortable and at ease and the outcome was absolutely perfect. My confidence is at a level it is has never been and I owe it to the team at Fortitude Valley Dentist. Thank you.
A
Alina Yukhymenko
2 months ago
D
Danny Cox
2 months ago
From the moment I walked in I knew I had made the right decision. David and his team have been fantastic throughout the whole process. David is an absolute master and takes great pride in his work and his care for his clients is 1st class. I have no hesitation in giving the team my highest recommendation.
N
Nicholas Bud
4 months ago
Dr David and the team at Fortitude Valley Dentist are amazing!! Their level of professionalism and service is second to none! If you’re anxious or embarrassed about your teeth & need any dental work done, then Dr David and his wonderful team at Fortitude Valley Dentist is the best dentist in Brisbane!
L
Lina Geaitani
4 months ago
I would highly recommend Dr David and the team at Fortitude Valley Dentist. I’ve never been a fan of visiting the dentist, but Dr David has changed that for me.Thanks guys! Best dental clinic in Brisbane!
C
Chris David
4 months ago
Wow. I could not recommend Dr David and his team enough. Dr David was so attentive to my needs and made my experience so comfortable. Thank you again Dr David and the team at Fortitude Valley Dentist.
G
Guilherme Goncalves
8 months ago
I would definitely recommend Dr David for friends and family, he is an excellent professional and the staff is always friendly. After a lot of research, I ended up deciding to visit the clinic and start my treatment and that was the best decision I made.
T
Trent Hanna
a month ago
After sitting down with Dr David I decided he was the one I wanted to put my trust in. He made me feel so comfortable and confident he could get the result and as fast as I was wanting. Sitting here 1 month later, I am so glad I chose to put my trust in David and his team. I will be highly recommending them. Thank you to the whole team I couldn’t be happier.
K
Kerrie Matveyeff
a month ago
It is truely hard to put into words what a wonderful experience I had with both the team and Dr David Betar, the professionalism, work ethic and caring nature of all staff made me comfortable and at ease and the outcome was absolutely perfect. My confidence is at a level it is has never been and I owe it to the team at Fortitude Valley Dentist. Thank you.
A
Alina Yukhymenko
2 months ago
D
Danny Cox
2 months ago
From the moment I walked in I knew I had made the right decision. David and his team have been fantastic throughout the whole process. David is an absolute master and takes great pride in his work and his care for his clients is 1st class. I have no hesitation in giving the team my highest recommendation.
N
Nicholas Bud
4 months ago
Dr David and the team at Fortitude Valley Dentist are amazing!! Their level of professionalism and service is second to none! If you’re anxious or embarrassed about your teeth & need any dental work done, then Dr David and his wonderful team at Fortitude Valley Dentist is the best dentist in Brisbane!
L
Lina Geaitani
4 months ago
I would highly recommend Dr David and the team at Fortitude Valley Dentist. I’ve never been a fan of visiting the dentist, but Dr David has changed that for me.Thanks guys! Best dental clinic in Brisbane!
C
Chris David
4 months ago
Wow. I could not recommend Dr David and his team enough. Dr David was so attentive to my needs and made my experience so comfortable. Thank you again Dr David and the team at Fortitude Valley Dentist.
G
Guilherme Goncalves
8 months ago
I would definitely recommend Dr David for friends and family, he is an excellent professional and the staff is always friendly. After a lot of research, I ended up deciding to visit the clinic and start my treatment and that was the best decision I made.
T
Trent Hanna
a month ago
After sitting down with Dr David I decided he was the one I wanted to put my trust in. He made me feel so comfortable and confident he could get the result and as fast as I was wanting. Sitting here 1 month later, I am so glad I chose to put my trust in David and his team. I will be highly recommending them. Thank you to the whole team I couldn’t be happier.
K
Kerrie Matveyeff
a month ago
It is truely hard to put into words what a wonderful experience I had with both the team and Dr David Betar, the professionalism, work ethic and caring nature of all staff made me comfortable and at ease and the outcome was absolutely perfect. My confidence is at a level it is has never been and I owe it to the team at Fortitude Valley Dentist. Thank you.
A
Alina Yukhymenko
2 months ago
D
Danny Cox
2 months ago
From the moment I walked in I knew I had made the right decision. David and his team have been fantastic throughout the whole process. David is an absolute master and takes great pride in his work and his care for his clients is 1st class. I have no hesitation in giving the team my highest recommendation.
N
Nicholas Bud
4 months ago
Dr David and the team at Fortitude Valley Dentist are amazing!! Their level of professionalism and service is second to none! If you’re anxious or embarrassed about your teeth & need any dental work done, then Dr David and his wonderful team at Fortitude Valley Dentist is the best dentist in Brisbane!
L
Lina Geaitani
4 months ago
I would highly recommend Dr David and the team at Fortitude Valley Dentist. I’ve never been a fan of visiting the dentist, but Dr David has changed that for me.Thanks guys! Best dental clinic in Brisbane!
C
Chris David
4 months ago
Wow. I could not recommend Dr David and his team enough. Dr David was so attentive to my needs and made my experience so comfortable. Thank you again Dr David and the team at Fortitude Valley Dentist.
G
Guilherme Goncalves
8 months ago
I would definitely recommend Dr David for friends and family, he is an excellent professional and the staff is always friendly. After a lot of research, I ended up deciding to visit the clinic and start my treatment and that was the best decision I made.
T
Trent Hanna
a month ago
After sitting down with Dr David I decided he was the one I wanted to put my trust in. He made me feel so comfortable and confident he could get the result and as fast as I was wanting. Sitting here 1 month later, I am so glad I chose to put my trust in David and his team. I will be highly recommending them. Thank you to the whole team I couldn’t be happier.
K
Kerrie Matveyeff
a month ago
It is truely hard to put into words what a wonderful experience I had with both the team and Dr David Betar, the professionalism, work ethic and caring nature of all staff made me comfortable and at ease and the outcome was absolutely perfect. My confidence is at a level it is has never been and I owe it to the team at Fortitude Valley Dentist. Thank you.
A
Alina Yukhymenko
2 months ago
D
Danny Cox
2 months ago
From the moment I walked in I knew I had made the right decision. David and his team have been fantastic throughout the whole process. David is an absolute master and takes great pride in his work and his care for his clients is 1st class. I have no hesitation in giving the team my highest recommendation.
N
Nicholas Bud
4 months ago
Dr David and the team at Fortitude Valley Dentist are amazing!! Their level of professionalism and service is second to none! If you’re anxious or embarrassed about your teeth & need any dental work done, then Dr David and his wonderful team at Fortitude Valley Dentist is the best dentist in Brisbane!
L
Lina Geaitani
4 months ago
I would highly recommend Dr David and the team at Fortitude Valley Dentist. I’ve never been a fan of visiting the dentist, but Dr David has changed that for me.Thanks guys! Best dental clinic in Brisbane!
C
Chris David
4 months ago
Wow. I could not recommend Dr David and his team enough. Dr David was so attentive to my needs and made my experience so comfortable. Thank you again Dr David and the team at Fortitude Valley Dentist.
G
Guilherme Goncalves
8 months ago
I would definitely recommend Dr David for friends and family, he is an excellent professional and the staff is always friendly. After a lot of research, I ended up deciding to visit the clinic and start my treatment and that was the best decision I made.
T
Trent Hanna
a month ago
After sitting down with Dr David I decided he was the one I wanted to put my trust in. He made me feel so comfortable and confident he could get the result and as fast as I was wanting. Sitting here 1 month later, I am so glad I chose to put my trust in David and his team. I will be highly recommending them. Thank you to the whole team I couldn’t be happier.
K
Kerrie Matveyeff
a month ago
It is truely hard to put into words what a wonderful experience I had with both the team and Dr David Betar, the professionalism, work ethic and caring nature of all staff made me comfortable and at ease and the outcome was absolutely perfect. My confidence is at a level it is has never been and I owe it to the team at Fortitude Valley Dentist. Thank you.
A
Alina Yukhymenko
2 months ago
D
Danny Cox
2 months ago
From the moment I walked in I knew I had made the right decision. David and his team have been fantastic throughout the whole process. David is an absolute master and takes great pride in his work and his care for his clients is 1st class. I have no hesitation in giving the team my highest recommendation.
N
Nicholas Bud
4 months ago
Dr David and the team at Fortitude Valley Dentist are amazing!! Their level of professionalism and service is second to none! If you’re anxious or embarrassed about your teeth & need any dental work done, then Dr David and his wonderful team at Fortitude Valley Dentist is the best dentist in Brisbane!
L
Lina Geaitani
4 months ago
I would highly recommend Dr David and the team at Fortitude Valley Dentist. I’ve never been a fan of visiting the dentist, but Dr David has changed that for me.Thanks guys! Best dental clinic in Brisbane!
C
Chris David
4 months ago
Wow. I could not recommend Dr David and his team enough. Dr David was so attentive to my needs and made my experience so comfortable. Thank you again Dr David and the team at Fortitude Valley Dentist.
G
Guilherme Goncalves
8 months ago
I would definitely recommend Dr David for friends and family, he is an excellent professional and the staff is always friendly. After a lot of research, I ended up deciding to visit the clinic and start my treatment and that was the best decision I made.
myobrace therapy
Frequently Asked Questions
Frequently Asked Questions
What is a Myobrace?
What’s the difference between braces & Myobrace Therapy?
What causes crooked teeth?
Why avoid braces & extractions?
What age can children start treatment?
What does treatment involve?
What are the 5 signs your child may require Myobrace Therapy?
What are the negative effects of mouth breathing?

Transform your child’s smile with Myobrace Therapy
Transform your child’s smile with Myobrace Therapy
Begin your smile transformation journey with a complimentary Myobrace consultation with experts, typically valued at $150.
Begin your smile transformation journey with a complimentary Myobrace consultation with experts, typically valued at $150.
(07) 3544 7777
117 Warry St, Fortitude Valley QLD 4006
Mon-Fri 8AM—6PM
